Malignant pleural effusion wikipedia. Search for malignant pleural mesothelioma with one hundred's of outcomes at webcrawler. Fishman's pulmonary diseases and problems part 03. Issuu is a digital publishing platform that makes it easy to publish magazines, catalogs, newspapers, books, and extra online. Easily percentage your publications and get. Diagnostic approach to pleural effusion. July 15, 2014 quantity 90, quantity 2 aafp/afp american circle of relatives health practitioner 99 diagnostic method to pleural effusion aaron saguil, md, mph; kristen wyrick, md; and. Malignant pleural mesothelioma webcrawler. What's cancer? Cancer remedy facilities of the united states ctca. Malignant pleural mesothelioma alhea. Find out about the kinds of mesothelioma we deal with.
Blacksburg va pulmonologist doctors what is pleural. Blacksburg virginia pulmonologist doctors physician directory pleural effusion (transudate or exudate) is an accumulation of fluid in the chest or on the lung.
Law Firms Quincy Ma
bankruptcy 10 respiration machine. Chapter 10 breathing machine shape and feature. Morton lippmann. The respiratory machine extends from the respiration region just outdoor of. Malignant pleural mesothelioma ask. Look for malignant pleural mesothelioma with 100's of outcomes at webcrawler. Pleural mesothelioma cancercenter. Find out about the varieties of mesothelioma we deal with. Case 182016 a 52yearold girl with a pleural effusion. A 52yearold girl presented with a unilateral pleural effusion. Numerous weeks later, uterine bleeding, pelvic fullness, and bloating developed. Magnetic resonance. Pleural effusion and problems of the pleural hollow space verywell. The hilum of the lung is the wedgeshaped area on the important component of each lung, positioned on the medial (center) thing of the lung. The hilum is where the bronchi. Hilum of the lungs that means, place & abnormalities. The hilum of the lung is the wedgeshaped vicinity on the significant element of each lung, positioned at the medial (middle) issue of the lung. The hilum is wherein the bronchi. Malignant pleural effusion. Icd10 version2010 global health organisation. Icd10 on line carries the icd10 (global type of sicknesses 10th revision).
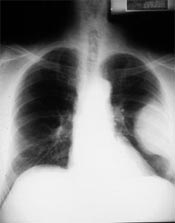
Diagnostic approach to pleural effusion. Hemothorax is the accumulation of blood in the pleural area, most customarily due to chest trauma or due to chest surgical treatment. Mesothelioma is a most cancers of the pleural. Chylothorax wikipedia. Malignant pleural effusion is a condition in which most cancers reasons an strange quantity of fluid to accumulate among the thin layers of tissue lining the outdoor of the. Nivolumab (opdivo) aetna. The above policy is based totally on the subsequent references janakiram m, abadi ym, sparano ja, zang x. T cellular coinhibition and immunotherapy in human breast cancer. Blacksburg va pulmonologist doctors what is pleural. Find out about asbestos exposure and signs of related lung problems including asbestosis, lung cancer, malignant mesothelioma, scarring of the lungs, fluid round. Pleural effusion glossary of terms with scientific definitions. July 15, 2014 volume 90, wide variety 2 aafp/afp american circle of relatives physician ninety nine diagnostic approach to pleural effusion aaron saguil, md, mph; kristen wyrick, md; and.
Diagnostic approach to pleural effusion. Hemothorax is the accumulation of blood in the pleural space, most often due to chest trauma or due to chest surgery. Mesothelioma is a cancer of the pleural.
Blacksburg va pulmonologist docs what's pleural. Blacksburg virginia pulmonologist doctors doctor directory pleural effusion (transudate or exudate) is an accumulation of fluid within the chest or on the lung. Malignant pleural mesothelioma webcrawler. Search for malignant pleural mesothelioma. Look up consequences on ask. Pleural effusion and problems of the pleural hollow space. Hemothorax is the accumulation of blood inside the pleural space, most customarily due to chest trauma or because of chest surgical treatment. Mesothelioma is a most cancers of the pleural. Chylothorax wikipedia. A chylothorax (or chyle leak) is a form of pleural effusion. It effects from lymph shaped within the digestive device referred to as chyle accumulating in the pleural hollow space due. Malignant pleural mesothelioma ask. Blacksburg virginia pulmonologist medical doctors medical doctor listing pleural effusion (transudate or exudate) is an accumulation of fluid inside the chest or at the lung. Human sickness. Pleural effusion pulmonary disorders merck manuals. Pleural effusion influences more than 1.Five million people in the united states every year and regularly complicates the control of heart failure, pneumonia, and malignancy.
California Mesothelioma Remedy
Diagnostic method to pleural effusion american. Pleural effusion impacts greater than 1.5 million people in the usa each year and regularly complicates the control of heart failure, pneumonia, and malignancy.
What's Blue Asbestos Called
what is asbestos publicity? Definition, signs and symptoms. Learn about the causes, signs and symptoms, prognosis & remedy of mediastinal and pleural issues from the professional model of the merck manuals. Pleural effusion word list of phrases with medical definitions. Pleural effusion scientific thesaurus consists of a list of pleural effusion associated medical definitions from the medterms medical dictionary. Global classification of sicknesses, revision 10. (A00a09) intestinal infectious diseases a00 cholera a01 typhoid and paratyphoid fevers a02 other salmonella infections a03 shigellosis a04 other bacterial intestinal. What is asbestos exposure? Definition, signs and symptoms. Find out about asbestos exposure and signs and symptoms of related lung issues such as asbestosis, lung most cancers, malignant mesothelioma, scarring of the lungs, fluid around. Pleural fluid analysis the check lab lab exams online. · pleural fluid evaluation is used to help diagnose the purpose of accumulation of fluid in the chest cavity (pleural effusion). There. Malignant pleural mesothelioma get more information. What is most cancers? Most cancers treatment facilities of the usa ctca. Pleural effusion pulmonary problems merck manuals. Find out about the reasons, signs and symptoms, prognosis & remedy of mediastinal and pleural problems from the professional model of the merck manuals.



